Yardley PA Dentist Smile Gallery

Tina

Porcelain Veneers - Tetracycline staining was corrected with 10 porcelain veneers

Lukas

Dental Implants - Lower left missing teeth were replaced with single implants, upper teeth restored with 6 implants holding a fixed bridge

Liz

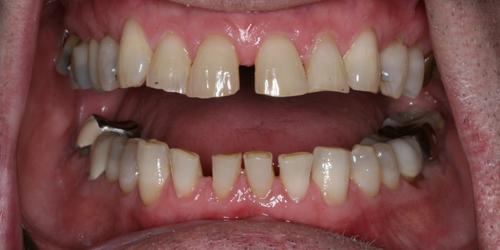
Crowns - Upper teeth were worn down almost to half the normal length from Bruxism (tooth clenching and grinding), porcelain crowns were used to restore function and normal length

Dental Implants

Dental Implants

Donna

Composite Fillings - Silver amalgam fillings have been replaced with tooth-colored composite.

Donna

Crowns - Upper teeth were worn down almost to half the normal length from Bruxism (tooth clenching and grinding), porcelain crowns were used to restore function and normal length

David

Porcelain Onlays - The before photo is a "white" filling placed by another dentist after the silver amalgam was removed. The after photo is both fillings replaced with porcelain onlays.

Bridget

Porcelain Veneers and Invisalign - lower teeth straightened with Invisalign, upper teeth porcelain crowns and veneers to correct size and shape and close gap

Annemarie

Porcelain Crowns and Invisalign - Invisalign used to straighten lower teeth, composite "bonding" was originally used to cover upper teeth stained by Tetracycline, replaced with porcelain crowns

Kevin

Invisalign with full mouth zirconia crowns

Nanette

Full mouth zirconia crowns and implants

Mary

Porcelain veneers